e-ISSN: 2320-7949 and p-ISSN: 2322-0090

All submissions of the EM system will be redirected to Online Manuscript Submission System. Authors are requested to submit articles directly to Online Manuscript Submission System of respective journal.

Orthodontic Scars: A Review of its Etiology and Treatment

Sanjivani Suresh Gofane*, Sangamesh Fulari, Jiwanasha Agrawal, Lalita Nanjannawar, Shraddha Shetti, Vishwal Kagi

Department of Pharmacology, Peking University, Beijing, India

*Corresponding Author:
Sanjivani Suresh Gofane
Department of Pharmacology,
Peking University,
Beijing,
China;
Email: Sanjivani2906@gmail.com

Received: 12-May-2022, Manuscript No. JDS-22-63659; Editor assigned: 16-May-2022, Pre QC No. JDS-22-63659 (PQ); Reviewed: 31-May-2022, QC No. JDS-22-63659; Revised: 14-Jul-2022, Manuscript No. JDS-22-63659 (R); Published: 22-Jul-2022, DOI: 10.4172/2320-7949.10.6.007

Visit for more related articles at Research & Reviews: Journal of Dental Sciences

Abstract

Orthodontic treatment constitutes to be an essential part of dentistry. It helps patients by the remarkable improvement in the aesthetics, functioning of the teeth, their appearance, overall dental health, comfort, and self-confidence. Apart from its benefits also has potential risks and limitations in terms of tissue damage. Fortunately, in orthodontics, risks are minimal and infrequent. However, all potential risks and limitations should be considered and addressed while making the decision to undergo orthodontic treatment. The purpose of this article is to provide an overview of potential complications and management of orthodontic scars.

Keywords

Orthodontics; Scars; White spot lesions; Black triangle

Introduction

Orthodontic treatment constitutes to be an essential part of dentistry as the aim of Orthodontic treatment is to achieve functional efficiency, structural balance, and esthetic harmony. An important goal in Orthodontic treatment is to attain a balanced smile. Apart from aesthetics, it also helps patients by the remarkable improvement in the functioning of the teeth, its appearance, overall dental health, comfort, and self-confidence. However, Orthodontic treatment also has its shares of risks and restrictions concerning tissue damage apart from its benefits during or after the treatment. Providentially, in Orthodontics, risks are negligible and rare.

Most of the damage on soft tissues are reversible and are transient. However, the hard tissue injury can be irreversible, resulting in further treatment following the completion of Orthodontic therapy as seen in the case of enamel decalcification [1,2]. This possible risk needs to be identified initially and managed properly. Dental practitioners who haven’t specialized in orthodontics should also be inevitably aware of these potential hazards. Hence, it should be the major duty of the operator to carry out a thorough examination of the oral cavity of the patient at the start of the treatment and also during consequent visits to assess, identify and manage Orthodontic scars to avoid adverse effects and achieve a healthy and successful final result. It is also essential to inform the patient about such possibilities before the commencement of Orthodontic treatment [3].

What are scars and orthodontic scars?

Scars: Soft tissue manifestations on skin or other body tissue in the region of a wound, burn or sore, seen during the healing process (Table 1).

1 Lesions of enamel Enamel decalcification/white spot lesions
Physical damages on enamel (enamel wear/enamel fractures)
2 Periodontal tissues Gingivitis/gingival enlargement
Gingival recession
Dark triangles
Dehiscence and fenestration
3 Soft tissue Direct damage caused by components of removable and/or fixed appliance components:
Indirect damage by an allergic reaction to
Nickel
Latex
Soft tissue complications related to implants
4 Tooth Root resorption

Table 1. Classification of orthodontic scars.

Orthodontic scars: Reversible or irreversible, soft or hard tissue damage, that is expressed clinically either intra/extra orally, during, or after the Orthodontic treatment [4].

Materials and Methods

Lesions of enamel

White spot lesions: Orthodontic treatment usually results in constant exposure of the enamel surface to bacterial flora leading to dissolution of the inorganic content of the enamel. These bacteria present on the susceptible tooth structure cause production of acids which reduce the Ph leading to demineralization of the apatite crystals further forming lesions. White spot lesions defined as “white opacity” occur as a result of surface demineralization that is located on a smooth surface of teeth. They appear as tiny lines on all sides of the bracket while in several patients, they can be seen as large decalcified areas with or without cavitation. They generally take 30 days to appear after initiating Orthodontic treatment in patients practicing poor oral hygiene.

The labiolingual area of lateral incisors is the most common and the maxillary posterior segments are least involved for WSL with an appearance on the buccal aspect of teeth on all sides of the brackets, mainly in the gingival third with a higher frequency of males than females. In patients getting Orthodontic treatment, they often occur underneath broken bands, around bracket bases, and in regions where brush cannot reach (Figure 1).

JDS-spot

Figure 1: White spot lesion.

White spot lesions, if left untreated, lead to cavitation; hence the proper diagnosis, treatment, and prevention are necessary to minimize the enamel decalcification otherwise it will comprise the aesthetics of the patient.

Management of white spot lesion

WSL management should be done considering various factors. The most important aspect of preventing demineralization is to confirm that the patients maintain a high standard of oral hygiene all over the treatment.

During orthodontic treatment: Fluoride is one of the minerals which establish anti-cariogenic properties. In compliant patients, fluoride application in the form of dentifrice is recommended by an Orthodontist but should be avoided for patients below 16 years [5]. A technique that involves the use of modified fluoride toothpaste, twice-daily brushing followed by the vigorous swishing of the tooth slurry for 30 seconds without rinsing with water and escaping eating and drinking for two hours decreases the chances of caries in Orthodontic patients. Sodium fluoride (0.05%), 1.2% acidulated phosphate fluoride mouth rinse (weekly), 0.4% stannous fluoride gel and fluoride varnish can be used to maintain such high standards. For non-compliant patients, cement/bonding agents containing fluoride and fluoride-releasing elastomeric ligatures can be used for the same. The uses of Casein Phosphopeptides Amorphous Calcium Phosphate (CPP-ACP), probiotics, polyols enhance the anti-cariogenic property of fluoride.

Laser application was also found to be an effective tool for decreasing white spot lesions by increasing the ability of the enamel to resist dissolution by acids. The basic lasers that are used in preventive dentistry include the argon lasers, CO2, Nd-YAG, and erbium YAG.

After orthodontic treatment: Post debonding, the WSLs worsen due to demineralization by saliva and abrasion due to brushing in the presence of oral and food hygiene depending on the severity of the lesion. Guzmán-Armstrong, et al. recommended an observation period of 6 months before treatment of these lesions as it occurs post 6 months of the debonding process.

Post Orthodontic treatment, the first choice to eliminate WSLs is the demineralization process. However, after score 2 it is difficult to remineralize hence, invasive techniques are advocated such as erosion‒infiltration, bleaching, and micro-abrasion. Triethylene glycol Di methacrylate-based resin tags are formed using HCl etching. In Mmicro abrasion, abrasive slurry 6.6% opalusteror 6% (Whiteness RM) are used for processing of enamel surface. The delayed application was found to be effective and improved the process of demineralization. The Bleaching procedure by incorporating three different biomaterials, including nano-BAG, nano-hydroxyapatite, and nano-amorphous calcium phosphate, into bleaching agents might initiate the demineralization process in a patient with good oral hygiene.

Physical damages on enamel (enamel wear/ enamel fractures): Tooth enamel is a highly mineralized structure that is the toughest, of all substances in the human body (Figure 2). Sometimes, during orthodontic treatment, loss of enamel or topographic changes which include cracks, scarring, and scratches may occur such cracks form a niche for the formation of caries, because partial tooth fracture or it may discolor the tooth surface [6-8]. Enamel damage mostly occurs during debonding procedure which depends on the type of material and method of debonding. It is more common during debonding of ceramic bracket than metal bracket where a peeling force is applied to the base bracket [9].

JDS-enamel

Figure 2: Post-debonding photograph showing areas of enamel decalcification of anterior teeth and enamel fracture of the upper left incisal edge.

The incisal edges of the upper anterior teeth, buccal cusps of upper posterior teeth, and upper canine tips are frequently affected areas during debonding (1.2) Zachrisson found that the frequency of pronounced cracks was 6% for debonded/banded teeth and 4% for untreated teeth about the total number of cracks. However, chemically bonded ceramic brackets showed more cracks in comparison [10].

Prevention and management

To manage tooth structure loss or enamel damaged restorative procedures can be carried out. Resin-modified glass cement provides minimal damage to the enamel surface. They also provide easier clean-up after debonding than conventional orthodontic adhesives.

Debonding at the bracket-resin interface with Peeling off stroke is the supported method and removal of residual bonding agents to minimize the risk of enamel fracture and it leaves the enamel surface intact. Debonding force lower than 13 Mpa is advocated for debonding technique.

Suitable dietary instruction should be given to minimize tooth substance loss. Carbonated beverages and pure citrus fruit juices should be avoided in patients with fixed appliances as they are the most common causes of erosion.

Periodontal tissues

Gingivitis/gingival enlargement: Gingival inflammation is the instant clinical tissue response that can be appreciated in almost all orthodontic patients. Orthodontic treatment is capable of creating local changes in the oral microbial ecosystem and changing the composition of the bacterial plaque qualitatively and quantitatively. Generally, plaque accumulates subgingivally, which leads to gingival inflammation (Figure 3). It is immediately observed after fixed appliance therapy, inhibiting the maintenance of oral hygiene [11].

JDS-showing

Figure 3: Picture showing gingivitis and gingival enlargement.

Zachrisson and Zachrissonn, et al stated that even after sustaining excellent oral hygiene, patients usually experience mild to moderate gingivitis within 1 to 2 months of appliance placement. It is transient and does not lead to any additional complications, such as loss of gingival attachment except for 10 % of adult patients.

The interproximal areas are often more affected than the facial areas and posterior teeth more than anterior teeth.

One of the most common complications with gingivitis associated with Orthodontic treatment is gingival enlargement. The affected tissue generally shows swelling and may bleed when slightly probed. According to Kloehn and Pfeifer, et al. posterior teeth are four times more affected than incisors and canines.

Enlargement is because of mechanical irritation by bands, more on posterior than on anterior teeth. Cement-induced chemical, food impaction, because of the proximity of the arch wires to the soft tissues, and poor oral hygiene maintenance. The interdental region is frequently affected compared with the facial aspect of the gingiva margin. Zachrisson, et al. found that the mandibular incisor region had the highest risk for the development of gingival enlargement.

Management of gingivitis and gingival enlargement

The foremost important thing to reduce the occurrence of gingivitis and gingival enlargement is the maintenance of good oral hygiene. The patient should be motivated for the same. End-tufted brushes with floss traders or stiff plastic floss provided with bactericidal disinfectants such as chlorhexidine gluconate, which can be threaded beneath the arch wires, are particularly useful. Periodontal checks, routine scaling, and polishing after three months are advisable. Davies and co-workers concluded that visits to the orthodontist are the most likely reason for the enhancement in oral hygiene and gingival health.

Othman and co-workers combined Orthodontic composite resins with benzalkonium chloride, for bonding orthodontic brackets. It is an effective antimicrobial agent for reducing plaque and gingivitis.

Light orthodontics forces are suggested for adult orthodontics. Extreme care should be taken principally in patients with systemic diseases, such as epilepsy, as they may be on phenytoin that causes gingival hyperplasia.

Gingival recession

Alveolar bone loss and gingival recession are more prevalent in adult orthodontic patients than in the general population. Gingival recession is defined as “the exposure of the root surface by an apical shift in the position of the gingiva. According to Geiger, et al., there is an association between orthodontic tooth movement and gingival recession having an incidence of 1.3% to 10% with fixed orthodontic appliances therapy (Figure 4) [12].

JDS-adhesive

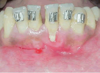
Figure 4: Improper removal of adhesive flash resulting in plaque harboring areas, and gingival recession about mandibular anterior.

Teeth with inadequately attached gingiva may experience localized recession when high forces are applied that prevents bone repair or remodeling during tooth movement. Dorfman discovered that mandibular incisors are more likely than other teeth to experience recession. Gingival recession is more prevalent in patients who have poor oral hygiene and underlying periodontal diseases. Chronic marginal gingivitis, trauma, and chronic necrotizing ulcerative gingivitis are all predisposing factors even when minimal orthodontic force is used. Gingival recession can cause poor aesthetics, root sensitivity, loss of periodontal supply, inability to maintain dental hygiene and achieve successful periodontal repair, as well as increasing caries susceptibility. As a result, it is critical to ensure it and must be addressed prior to beginning orthodontic treatment.

Management of gingival recession: It seems judicious to underline the importance of a careful clinical examination, application of optimal forces, and control over tooth movement as a means to avoid or stop this problem from an Orthodontic perspective. Interceptive extraction is another method advocated to reduce gingival recession. Mucogingival surgery is also the method of choice to reduce gingival recession. Different soft tissue grafting procedures have been planned in the treatment of gingival recessions. A sub epithelial connective tissue graft is a reliable method for the treatment of gingival recession [13].

Dark triangle

Open gingival embrasures “black triangles” are defined as the embrasures cervical to the interproximal contact that is not filled by gingival tissues. Black triangles are more common in adults who experienced orthodontic treatment (38%). Though, an open gingival embrasure was seen in 41.9% of adolescent patients who had performed orthodontic treatment due to maxillary anterior crowding (Figure 5). Consequently, Open gingival embrasures or black triangles are associated with poor aesthetic and functional problems, which negatively affect the smile, enable retention of food debris which can negatively affect the smile and health of the periodontium [14].

JDS-triangle

Figure 5: Black triangle.

Cunliffe, et al. found that interdental "black triangles" were esteemed as the third most hated aesthetic problem below caries and crown margins. A black triangle can give source to patient complaints such as aesthetic problems, phonetic problems, food impaction, and oral hygiene maintenance problems. Hence, it must be treated as early as possible to minimize the complications.

Results

Management of cases of black triangle

Eliminating the risks of emerging black triangles isn’t always possible; a multidisciplinary approach is helpful. Executing general principles of periodontal treatment is also very useful.

Restorative approach: Restorative treatment can be considered for management of black triangle, it should be noted that to alter the position of the point of contact, one of them with ceramic veneer or crown.

Orthodontic approach: Treatment should be considered to create parallelism of the roots and a favorable position of the proximal contact point of the crowns. Orthodontic treatment is aimed by placing more contact points into the apical region so that the height of the alveolar bone and papilla can be induced by the movement of Orthodontic extrusion. Divergent roots are generally associated with black triangle space. Divergent roots can also be caused by the incorrect bonding of brackets, not perpendicular to the axis of the tooth (Figure 6). During Orthodontic treatment, bracket slots should be bonded perpendicular with the long access of the tooth and not to the incisal edge. Hence, it is important to analyze the periapical radiograph before the installation of the bracket [15,16]. Sometimes, the Interproximal contact will move the point of contact to a larger area, thus reducing the open gingival embrasure.

JDS-approach

Figure 6: Orthodontic approach for black triangle.

Prosthodontics approach: A very simple yet effective procedure for dealing with gingival recession and loss of interdental papillae is the use of gingival prosthesis. The Gingival prosthesis is a removable mask or aesthetic and functional prosthesis-covering the missing gingival tissue.

Surgical approach: The success of surgical treatment of dark triangle needs thick gingival biotype characteristics and no loss of periodontal ligament. Surgical approaches include

•Papilla to reshape soft-tissue contours.

•Takei, et al and Cortelini, et al. described the Papilla preservation to reduce and prevent replacement of the gingival margins more apical after surgery.

•The technique is a combination of pedicle flap and papilla preservation i.e. papilla reconstruction.

Dehiscence and fenestrations

The alveolar bone is part of the periodontal tissue, exaggerated by the location, angulation, and tilt of the teeth as well as by occlusal forces. The anatomy of the alveolar bone is of great clinical importance because of the existence of dentoalveolar lesions such as fenestration and dehiscence.

Fenestration is the condition, in which the bony coverage of the root surface is lost, and the root surface is only covered by the periosteum and gingiva (Figure 7). In such lesions, marginal bone is intact. When this bone defect spreads toward the marginal bone, it is called dehiscence [17].

JDS-dehiscence

Figure 7: Fenestration and dehiscence.

Fenestration and dehiscence bone defects are noticed more in the facial than lingual root surfaces and also more in anterior than in posterior teeth. Curved and protruding root form, labial tooth protrusion, occlusal trauma, bruxism, and tooth movement along with the thin cortical bone plate are some of the prompting factors for these bone defects.

Hence, dentists should have adequate knowledge of the anatomy of normal bone to accomplish satisfactory results, improve aesthetic outcomes and avoid complications of periodontal, endodontic, and orthodontic treatments.

Management of fenestration and dehiscence

The presence of fenestration and dehiscence in the bone must be observed before orthodontic treatment. These bony defects are existing on the alveolar bone coverage of the prominent and buccally-protruded roots. These teeth are more likely to show fenestration and dehiscence. Therefore, rapid Orthodontic movements can exaggerate alveolar bone lesions and spread bone loss. In such situations, gingival augmentation is recommended before starting orthodontic treatment.

Periodontally Accelerated Osteogenic Orthodontics (PAOO) is a combination of bone activation, and alveolar augmentation that helps in restoring pre-existing alveolar dehiscence and fenestrations by increasing alveolar volume and covering vital root surfaces by using particulate bone grafting material, and orthodontic treatment [18].

Soft tissue

Mucosal trauma is honestly common during orthodontic treatment and can be triggered by many factors together with ulceration by the brackets and the protruding arch wires near the molar region, chemical burns from the acid-etchant, and clumsy instrumentation [19].

Prevention techniques include:

• Careful instrumentation.

• Cutting distal ends of wire short.

• Using bumper sleeve on long spans of wire.

• Providing patients with wax to circumvent mucosal irritation from the brackets.

• Use of high-volume suction and flushing with copious water after the acid etching procedure.

Direct damage by removable or fixed components

Removable appliances: For the management of minor orthodontic problems, removable appliances may be used as active appliances during the treatment which entail simple tipping or in the form of retainers at the end of fixed orthodontic treatment. They carry with them the risk of tissue impingement and harm to the tissue by the wire components or acrylic components such as retentive clasps, springs, canine retractors, etc (Figure 8).

JDS-because

Figure 8: picture showing ulceration because of removable appliance.

Management: Before fabricating any removable appliance, undercuts should be cautiously evaluated in the plaster model and blocked out prior completely. Also, care should be taken while insertion and removal of the appliance by removing any sharp edges in the appliance to avoid trauma. Afterward, Patients should be recalled a few days (approx. 7 days) after appliance delivery to check for any tissue impingement or trauma [20].

Fixed appliance: While undergoing orthodontic treatment, patients may suffer from oral ulcer, Lacerations, and trauma to the gingiva and oral mucosa due to rubbing of the lips and cheeks on the arch wire, brackets, bands, and hooks, precisely where long unsupported stretches of wire rest against the lips (Figure 9).

JDS-tissue

Figure 9: Soft tissue impingement due to T loop.

For space closure or intrusion or any other biomechanics, Loops and utility arches are required. The Clinician should of very cautious during their fabrication to check for overextension into the vestibular area as it may cause tissue impingement, blanching, ulceration, or any other type of tissue damage. Even minor amounts of continuous tissue impingement, if ignored, may lead to more serious problems like ulceration or tissue hyperplasia around the loop. The loop may become completely implanted in the hyperplastic tissue requiring surgical excision for removal of the hyperplastic tissue in extreme situations. Therefore, careful construction and monitoring of such wire components are crucial to circumvent such problems [21].

Management: Careful evaluation should be done by the clinician before initiating orthodontic treatment. The oral mucosa rapidly keratinizes and gets adapted to the new appliance relatively fast and the use of dental wax over the bracket and rubber tubing on the unsupported arch wire may serve to reduce the initial trauma and discomfort. The distal ends of the arch wire should be cut off flush with the molar tube or cinched toward the tooth to avoid mucosal trauma. While making loops or utility arches, the sulcus depth and extensions should be properly monitored [22].

Headgear injuries due to careless handling

Headgear can cause damage if it is exiled during sleep or rough play. Samuels and Jones classified the types of headgear injuries based on percentage occurrences:

• Accidental disengagement of the head strap while playing. (27%)

• Incorrect handling (27%)

• Disengagement by another child (19%)

• Disengagement while a sleep (27%)

The headgear bow is not only piercing but also sheltered by oral bacteria. A penetrating eye injury because the inner arms of the face-bow are of the same width as the eyes, cause immediate pain, the eye can be lost due to overwhelming infection as the oral bacteria multiply. During sleep dislocation of the face, the bow is more common can cause injury to the soft tissues.

Management: Patients must be educated about the safe use of headgear and if probably written instructions must be given to the parents after fitting the headgear. Preferably, it would be good if the parents are present to monitor the patient when they wear and remove the headgear. The patient should first take away the head strap before proceeding to remove the face bow, as directly pulling the face bow without loosening the head strap might result in eye injury due to the recoil. Patients should be recommended not to wear their headgear while playing. Where a locking face-bow has been fitted, patients should check to make sure it is placed properly and then check the “lock” by trying to pull it anteriorly. The patient and parent should also be guided that in the event of eye injury suspected to be caused by any part of the orthodontic appliance, however minor, requires an immediate ophthalmologic examination [23].

Indirect damage caused by allergic reaction

Nickel allergy: Nickel is present in all orthodontic appliances such as bands, brackets, headgear Also; several brands of orthodontic wires are made of nickel-titanium alloy and potentially have a high enough nickel content to aggravate allergic responses in the oral cavity. However, Nickel hypersensitivity marks three in ten of the general population. Intraoral signs and symptoms of nickel hypersensitivity are infrequent because the concentrations of nickel required to aggravate a reaction in the mouth are higher than those needed on the skin as in the case of jewelry and ear piercing. Staerkjaer, et al. stated that nickel-sensitive persons were not at higher risk even though wearing orthodontic appliances [24].

Intra-oral signs are inconstant and difficult to diagnose. These include loss of taste or metallic taste, numbness, burning sensation, soreness at the side of the tongue, angular cheilitis (Figure 10), and erythematous areas or severe gingivitis in the absence of plaque. Nickel-induced hypersensitivity is a delayed-type IV Hypersensitivity immune response, found 24 hr’s after nickel exposure. The prevalence of nickel allergy is higher in females than males (28% in females, 0% in males.)

JDS-allergy

Figure 10: Nickel allergy.

Latex allergy: Since, the mid-1980’s, Introduction to Natural Rubber Latex (NRL) in the clinical environment has increased knowingly because of concerns over the transmission of viral infections, such as Human Immunodeficiency Virus (HIV) and hepatitis B. This has resulted in protective gloves, being worn regularly for clinical procedures, usually made from NRL where contact with bodily fluids may occur. When these gloves are worn, corn-starch powder contaminated with protein is deposited on the skin (Figure 11). Also, when they are put on or removed, the powder spreads into the air and can be inhaled, contacting mucous membranes leads to reaction [25].

JDS-latex

Figure 11: latex allergy.

Latex sensitivity may occur in response to contact with latex gloves or elastomeric ligatures (modules) and intra- and extra-oral elastics. The commonest sites affected are the gingivae and tongue, but the perioral region may also be affected. The reaction includes irritant contact dermatitis, Allergic contact dermatitis (Type IV response), Immediate Type I response. The Clinician should be aware of the sensitivity and manage it properly [26].

Management of nickel and latex allergy: Patients who are allergic to nickel can use titanium wires and brackets; epoxy coated titanium wires. Ceramic brackets or clear aligners can be used in those patients and those patients who are allergic to latex; the first thing to do is monitor for an adverse reaction. In latex-sensitive patients, steel ligatures or self-ligating brackets may be used as an alternative to conventional straight wire brackets and elastic modules and chains. Synthetic non-latex gloves made from nitrile, polychloroprene, elastin, and vinyl can be used.

Soft tissue complications related to implants

The overview of micro-implants to orthodontics as a skeletal anchorage option has directed to their use in critical anchorage situations. Their simple design and ease of placement help to avoid trauma and subsequent ulceration.

Periimplantitis: Peri-implantitis is a site-specific infectious disease that causes an inflammatory process in soft tissues, and bone loss around an osseo integrated implant in function. Peri-implantitis (inflammation of the gingiva around the implant) is a result of improper oral hygiene maintenance.

Management of periimplantitis: Patients should be encouraged to continue a high level of oral hygiene during treatment. In the case of periimplantitis, it is advisable to remove the implant as soon as possible with anti-infective therapy.

Discussion

Root desorption: Root desorption is a pathological and physiological process that results in the loss of the cementum and dentine. Orthodontic tooth desorption is an inflammatory process in which orthodontic forces are transferred to the teeth and hyalinized areas are thus removed in the periodontal area. ORR has multifactorial etiology including genetic, mechanical factors. Since OIRR is asymptomatic, it can only be identified radio graphically or histologically.

Management of Orthodontic tooth desorption

• Various drugs are available to manage ORR includes Echistatin, Bisphosphonates, Prostaglandin, Nambumetone. They act by inhibiting the activity of clast cells.

• Pause during treatment: a pause in the active treatment of orthodontic treatment reduces the orthodontic root desorption.

• LIPUS (Low-Intensity Pulsed Ultra Sound): LIPUS at 100 or 150 MW/cm2 exhibited decreased RR, decreased osteoclast numbers and activity levels, increased OPG/RANKL expression ratios thus reducing the root desorption.

• Owmann-Moll et al. stated that the resorptive activity of root can be repaired by covering with cellular or acellular cementum.

Conclusion

Most orthodontic scars are transient and self-correcting in nature. Nevertheless, if these scars are unnoticed or untreated during treatment, they may cause complications in the form of infections resulting in pain and discomfort. Patient’s oral hygiene maintenance and orthodontist intense observation during recall/review visits is the key to minimizing the chances of such scars.

References